
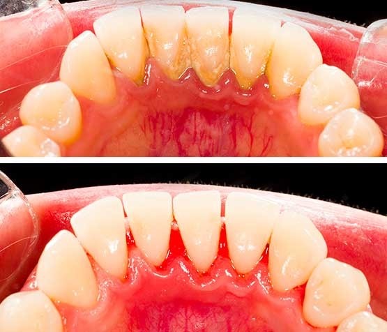
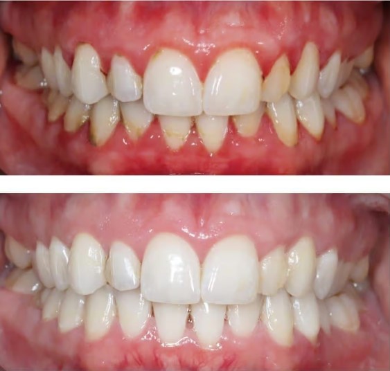
Eliminación total de sarro y manchas superficiales.
Aliento fresco y encías 100% sanas.
Incluye valoración dental completa por un especialista.
Sientes tus dientes ásperos o notas acumulación de sarro oscuro.
Tus encías están inflamadas o sangran ligeramente al cepillarte.
Quieres prevenir el mal aliento, caries o futuras molestias dentales.

Con una visión orientada a la excelencia, la doctora Yeeviani combina ciencia y arte para transformar sonrisas. Su enfoque se centra en tratamientos personalizados y técnicas de mínima invasión, garantizando resultados que no solo elevan la estética natural, sino que devuelven la salud y funcionalidad bucal a cada paciente.
Áreas de Especialidad
Estética Avanzada: Diseño de sonrisa, carillas cerámicas y carillas inyectadas en resina.
Rehabilitación Oral: Prótesis fija, restauraciones estéticas y atención integral.
Odontología Clínica: Ortodoncia, endodoncia clínica y prevención.
Formación y Credenciales de Clase Mundial
Comprometida con la innovación constante, cuenta con educación continua avalada por las instituciones y mentores más prestigiosos de la industria:
Actualización en Odontología Estética y Rehabilitación Oral por la Universidad Anáhuac.
Entrenamiento internacional en Digital Smile Design (DSD) con el Dr. Christian Coachman.
Certificaciones y Master Courses con líderes globales en restauración adhesiva e inyectada (Dr. Newton Fahl, Dr. Didier Dietschi, Dr. Jorge Perdigão y Dr. Walter Devoto).
Respaldo y actualización constante por el Colegio Nacional de Cirujanos Dentistas y el Colegio de Odontólogos de México.